1️⃣ 서론 | 폐 섬유증이란, 숨이 차기 시작했다면 꼭 알아야 할 질환
폐 섬유증이란 폐 조직이 딱딱하게 굳어가는 질환을 말합니다. 정상적인 폐는 스펀지처럼 부드러워 숨을 들이마실 때 잘 늘어나지만, 섬유화가 진행되면 폐가 탄력을 잃고 산소 교환 능력이 급격히 떨어집니다. 문제는 폐 섬유증 초기에는 단순한 체력 저하나 노화로 오해하기 쉽다는 점입니다. 가벼운 숨참, 마른기침 정도로 시작해 진단 시기를 놓치는 경우가 많기 때문에, ‘폐 섬유증이란 어떤 병인지’ 정확히 이해하는 것이 무엇보다 중요합니다.






2️⃣ 본론 | 폐 섬유증이란 어떤 변화가 폐에서 일어나는 걸까?
① 폐 섬유증의 핵심 원리 – 폐가 ‘굳어버리는’ 병
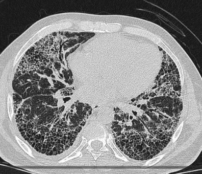
폐 섬유증은 폐에 염증이 반복되면서 정상적인 폐 조직이 점차 흉터 조직(섬유조직)으로 바뀌는 질환입니다. 이 섬유조직은 고무처럼 탄력이 없고 단단해, 한 번 형성되면 정상 폐로 되돌아가지 않는다는 특징이 있습니다. 이로 인해 폐가 충분히 팽창하지 못하고, 산소를 받아들이는 능력이 점점 떨어지게 됩니다.
- 산소가 혈액으로 제대로 전달되지 않음
- 깊게 숨을 들이마셔도 공기가 차는 느낌이 부족함
- 호흡을 할수록 숨이 가쁘고 피로가 쉽게 누적됨
이러한 변화 때문에 폐 섬유증은 단순 염증성 질환인 폐렴이나 기관지염과 달리, 진행성·비가역적인 폐 질환으로 분류됩니다.
② 폐 섬유증 원인 – 실제로는 ‘원인 불명’이 가장 많습니다
폐 섬유증은 다양한 원인으로 발생할 수 있지만, 임상 현장에서는 명확한 원인을 끝내 찾지 못하는 경우가 더 흔합니다. 이처럼 원인을 알 수 없는 경우를 특발성 폐 섬유증(IPF)이라고 합니다.
- 원인 불명 폐 섬유증 → 특발성 폐 섬유증(IPF)
- 장기간 흡연, 미세먼지·분진 노출
- 석면, 금속 가루 등 직업성 환경 노출
- 류머티스 관절염, 전신경화증 같은 자가면역질환
- 일부 약물 복용 또는 방사선 치료 후 합병증
특히 특발성 폐 섬유증은 50~70대에서 가장 흔하고, 치료 시기를 놓치면 진행 속도가 빠를 수 있어 조기 진단과 추적 관리가 매우 중요합니다.
③ 폐 섬유증 증상 – 이렇게 시작되는 경우가 많습니다
폐 섬유증 증상은 갑자기 나타나기보다는 서서히, 눈에 띄지 않게 진행되는 경우가 대부분입니다. 그래서 많은 환자들이 “나이가 들어서 그런가 보다”라며 병원을 늦게 찾는 경우가 많습니다.
- 계단, 언덕, 빠른 걸음에서 유독 숨이 참
- 감기와 무관한 마른기침이 수개월 이상 지속됨
- 깊게 숨을 쉬기 어려운 답답함
- 손톱 끝이 둥글게 부풀어 오르는 곤봉지
- 식욕 저하, 체중 감소, 만성적인 피로감
특히 운동 능력은 줄었는데 심장이나 근육 검사에서는 이상이 없다면, 폐 섬유증 가능성을 반드시 함께 고려해야 합니다.






3️⃣ 결론 | 폐 섬유증이란, 조기에 알수록 예후가 달라지는 질환입니다
폐 섬유증이란 한 번 손상되면 회복이 어려운 진행성 폐 질환입니다. 하지만 조기에 발견해 치료를 시작하면 진행 속도를 늦추고 삶의 질을 유지할 수 있습니다.
✔ 호흡곤란이 점점 심해지는 경우
✔ 마른기침이 수개월 이상 지속되는 경우
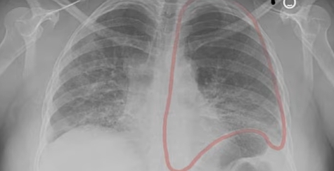
✔ 흉부 CT에서 이상 소견이 나온 경우
이 중 하나라도 해당된다면 호흡기내과 진료를 통해 정확한 평가가 필요합니다. 폐 섬유증은 막연히 두려워할 병이 아니라, 정확히 알고 조기에 관리해야 하는 질환입니다. “나이 탓이겠지”라는 생각이 진단 시기를 늦추는 가장 큰 원인이라는 점을 꼭 기억하시기 바랍니다.








'질병' 카테고리의 다른 글
| 인유두종 바이러스 증상 (0) | 2026.02.14 |
|---|---|
| std 12종 검사 (1) | 2026.02.13 |
| 심장이 쪼이는 느낌 (0) | 2026.02.12 |
| 전립선염 증상 (0) | 2026.02.11 |
| 에이즈 초기증상 (0) | 2026.02.11 |